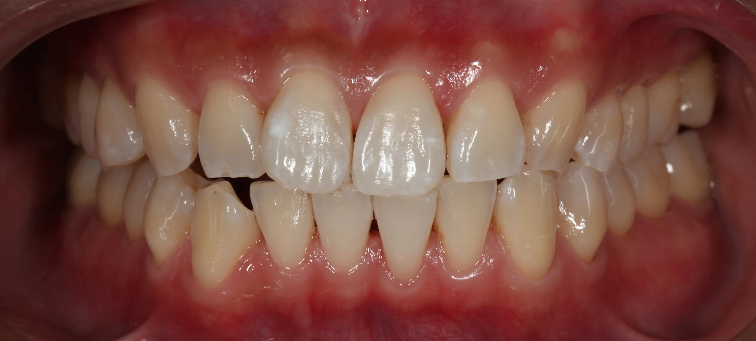
Bite Trauma is the most common cause for fractured front teeth. Often time, the teeth have micro fractures that slowly undermine the integrity of the entire tooth and or restoration. In this case below the patient shows excess wear to the teeth beyond the two front teeth. It takes careful examination to detect deep horizontal fracture lines at the two front teeth, although the external shape of teeth may appear to be fine. Image #2 and # 3 show the horizontal lines at about 1/3 of the way from the edges of the two front teeth. As the adjacent teeth grind themselves down, the front two teeth pickup the uncontrolled grinding path with the opposing teeth. The fracture lines get worse and worse, and in time the teeth can break off if the patient bites on something at the right angle that exert the right force on the fracture lines.
Beside gum disease and decay, bite trauma is the one factor which can cause people to lose their teeth.
